
О проекте
Что, если память — это не только наши воспоминания, а нечто большее? Что, если она скрыта в камнях, звездах и даже в самых неожиданных уголках Вселенной?
Выставка «Память — феномен Вселенной» — междисциплинарный проект, который раскрывает феномен памяти во всех его проявлениях: от биологических процессов в организме человека до сохранения информации в неживой природе и культурных артефактах. Онлайн выставка разделена на тематические зоны, каждая из которых отражает вклад институтов Научного квартала в изучение памяти. Посетители смогут проследить, как память проявляется на разных уровнях: от молекулярных структур до геологических пластов, от нейронных связей до литературных текстов.
Всего представлено пять разделов:
- Память Вселенной: от атомов до галактик
- Память Земли: геология и почва
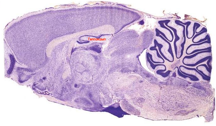
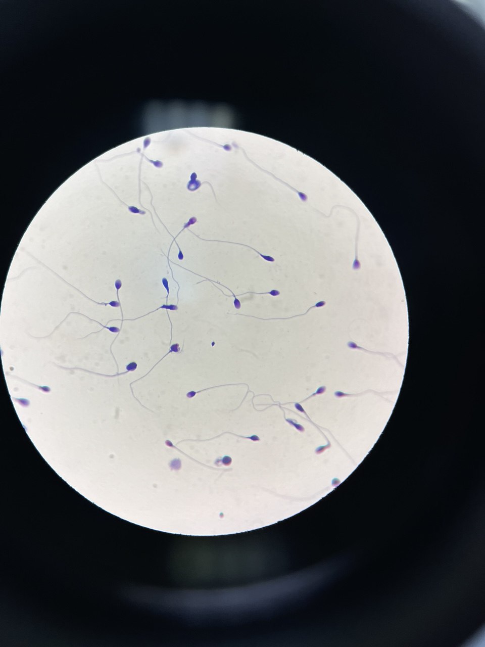
- Биологическая память: от клетки до организма
- Материальная память: химия и физика
- Культурная память: литература и история
В этой он-лайн выставке вы станете Алисой в Научном квартале — загадочном мире, где переплетаются память живого и неживого. Вам предстоит:
- Исследовать разделы, скрытые за кроличьими норами,
- Блуждать среди космических пейзажей и старинных лабораторий,
- Разгадывать, как память сохраняется в ДНК, окаменелостях, книгах и даже в геологических слоях Земли.
Как и Алиса, вы будете то терять, то вновь обретать свои воспоминания, сталкиваясь с искажённой логикой, таинственными переходами и внезапными открытиями. Ваша любознательность — главный ключ к разгадке.





























































